基本信息
产品品牌 :通蔚生物
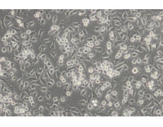
中文名称 :小鼠正常肝细胞
细胞简称 : N CTC 1469
细胞形态 : 圆形、上皮细胞样
生长特性 : 半贴半悬
培养环境 : 空气,95% ;CO2,5% 37℃
冻存条件 : 55% 基础培养基+40% FBS+5% D M SO液氮
完全培养基 : DM EM (PM 150210)+10% H S(164215)+1% P /S(P B 180120)
传代步骤
1、该细胞为半贴壁半悬浮细胞,悬浮细胞是活细胞,可用离心管收集细胞悬液后,于1200 rpm (250g左右)离心收集细胞。
2、部分贴壁不牢的细胞可直接吹起使之悬浮。
3、贴壁较牢固的细胞可用PBS润洗后,在培养瓶中加入1~2毫升0.25% 胰蛋白酶溶液(含ED T A )置于 37℃培养箱中消化,待细胞变圆收缩后可用4~ 6 m L左右完全培养基进行终止消化,轻轻吹散细胞后离心搜集细胞。
4、将悬浮的细胞和贴壁的细胞收集到一起混匀后按比例接种到新的培养瓶。
消化时间 : 2~ 5分钟
传代比例(密度) : 1:2-1:4
换液频次 : 2~ 3次/周
细胞背景描述
N CTC 1469细胞是于1952年建系,源于正常C 3H /A n小鼠的肝脏组织;N CTC 1469细胞可表达H -2K 抗原,鼠痘病毒阴性。
供体年龄 : 新生
组织来源 : 肝脏
细胞类型 : 自发永生化细胞
生物安全等级 : 1
细胞保藏中心 : ATCC ; CCL-9.1ECACC ; 88111403
收到常温细胞后如何处理
细胞培养详细操作步骤请参照通蔚生物细胞培养操作指南
1. 收到常温细胞后,及时拍照记录有无漏液/瓶身破损现象。
2. 用75%酒精擦拭细胞培养瓶表面,显微镜下观察细胞状态。先不要打开培养瓶盖,将细胞置于细胞培养箱内静置培养2-4小时,以便稳定细胞状态。
3.仔细阅读细胞说明书,了解细胞相关信息,如贴壁特性(贴壁/悬浮)、细胞形态、所用基础培养基、血清比例、所需细胞因子、传代比例、换液频率等。
4. 静置完成后,取出细胞培养瓶,镜检、拍照,记录细胞状态(所拍照片 将作为后续服务依据);建议细胞传代培养后,定期拍照、记录细胞生长状态。
5. 若观察到异常或者对细胞有疑问,请及时跟我们联系;对于细胞培养操作及培养。可跟我们的技术支持交流。
售前须知
该细胞生长状态为半贴半悬,贴壁部分处理时需要用胰酶消化。培养时,间隔处理时间过长会导致细胞贴壁部分消化时间延长。
购物车
帮助
021-54845833/15800441009
