Catalogue No : C1102
Product Format : a T25 flask
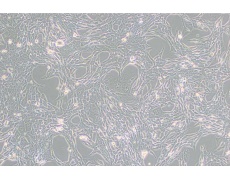
Culture Properties: 贴壁
Complete Growth Medium : 89%1640+10%FBS+1%双抗
Atmosphere : air, 95%; carbon dioxide (CO2), 5%
Application : Cells and cancer research
NOTE : FOR RESEARCH USE ONLY
Operation steps for cell culture
1. 吸走用于培养基,加入3-5mL PBS后轻轻晃动培养瓶润洗细胞。
2. 吸干净PBS后加入1mL 0.25%胰酶-0.53mM EDTA,轻轻摇晃培养皿使胰酶浸没细胞表面,培养瓶放37度培养箱消化;(细胞对于消化比较敏感,消化过度会严重影响细胞状态,导致细胞传代死亡漂浮或者传代后不长。细胞消化到细胞间隙变大但未脱落,可以轻轻吹下时即可终止,禁止消化到细胞完全漂浮。混匀细胞时尽量轻柔,不要吹出大量气泡。)
3. 加入6-8ml完全培养基终止消化,轻轻吹下细胞混匀。
4. 将混匀的细胞1000rpm(约150g)离心3min,弃上清,再用新鲜培养基重悬37度培养箱继续培养。
传代比例 : 不同细胞生长速度不一,具体传代比例视细胞生长速度而定,大部分细胞适用1:3-1:4传代,生长较慢的细胞可以1:2传代。
Cell cryopreservation
1. 冻存液:92%完全培养基+8%DMSO(可以根据实验室条件自行选择)。
2. 降温步骤:4度10min,-20度2h,-80过夜后液氮保存。
Tips
1. 细胞经过运输后,部分细胞由于温度变化及剧烈碰撞死亡破碎形成碎片,是正常现象。贴壁细胞可以消化,悬浮细胞直接混匀收集细胞,900-1000rpm(约150g)离心3min,弃上清。加5ml PBS重悬细胞,再900-1000rpm(约150g)离心3min,用新鲜的完全培养基重悬接种到新的培养瓶。第二次PBS重悬是为了去除碎片,如果平时碎片比较少,传代时可以省略PBS重悬的步骤;如果碎片很多,建议PBS多洗几次。
2. 细胞生长不均时,可以将细胞消化吹散后加入新的培养基重新接种或传代。
3. 细胞生长缓慢时,可以选择提高血清浓度培养(最高不超过20%),也可以根据细胞生长状态,选择传代细胞到新的培养瓶中继续培养。
4. 不同细胞贴壁性差异比较大,所以消化时间差别较大,20s-10min均有可能,具体以细胞消化到相互分离但未脱落,并可以轻轻吹下为准,严禁消化到细胞完全漂浮。客户消化过度导致细胞死亡、漂浮、生长缓慢,不提供免费售后服务。
5. 干冰发货均为两支,客户先复苏一支,若复苏失败及时联系我方并在我方指导下复苏第二支。若客户同时复苏两支均状态不佳,我方不提供免费售后服务。
6. 细胞状态正常时,应尽快冻存细胞保种,冻存后应随机抽取一支检测冻存效果。我方不对客户冻存细胞导致死亡负责,客户冻存细胞死亡不提供免费售后服务。
Notice
客户收到细胞有任何疑问请及时致电我们,细胞收到后1周内没有任何电话,或其他形式回访,默认为细胞质量没问题,之后出了任何问题不给予免费售后。细胞免费售后只提供一次,若重发后再次培养死亡不再免费补发,细胞收货时已经死亡或密度不足的除外。
购物车
帮助
021-54845833/15800441009
